Neue Studie Italien: Dunkelfeldmikroskopische Analyse von Blut von 1.006 Personen nach Anti-COVID-mRNA-Injektion
Darkfield Microscopy Analysis on Blood of 1.006 Symptomatic Persons After Anti-COVID mRNA Injection from Pfizer/Biontech or Moderna
Riccardo Benji ChipelliStudio Benji Zahnklinik
https://orcid.org/0000-0003-3030-8594
DOIs:
https://doi.org/10.56098/ijvtpr.v2i2.47
Stichwort:
Blut von COVID -19-Impflingen, Dunkelfeldmikroskopie, Entgiftung von COVID-19-geimpften Empfängern, experimentelle Injektionen, Fremdkörper bei COVID-19-Injektionen
einpacken
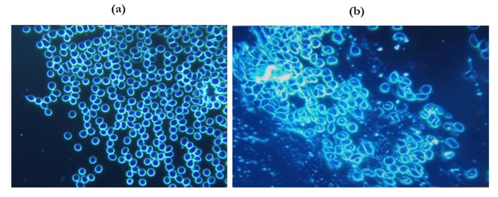
Die mikroskopische Dunkelfeldanalyse von frischem peripherem Blut auf Objektträgern war einst in der Medizin weit verbreitet und ermöglichte die erste und sofortige Beurteilung der Gesundheit der roten Blutkörperchen im Blut. In dieser Studie wurden periphere Blutstropfen von 1.006 symptomatischen Probanden nach Erhalt von mRNA-Injektionen (Pfizer/BioNTech oder Moderna) ab März 2021 mittels Dunkelfeld-Lichtmikroskopie analysiert. 948 Probanden (94 % aller Proben) zeigten 1 Monat nach der mRNA-Inokulation Erythrozytenaggregation und das Vorhandensein von Partikeln verschiedener Formen und Größen unbekannter Herkunft in ihrem Blut. Bei 12 Probanden wurde das Blut vor der Impfung auf die gleiche Weise getestet und zeigte eine völlig normale hämatologische Verteilung. Die nach der Inokulation mit mRNA-Injektionen festgestellten Veränderungen erhärten den Verdacht, dass die Veränderung auf den sogenannten „Impfstoff“ selbst zurückzuführen ist. Wir berichten über vier klinische Fälle, die stellvertretend für die gesamte Fallserie ausgewählt wurden. Weitere Forschung ist notwendig, um die genaue Art der im Blut gefundenen Partikel zu definieren und mögliche Lösungen für die Probleme zu finden, die sie anscheinend verursachen.
Ansicht der Dunkelfeldmikroskopie-Analyse von Blut von 1.006 symptomatischen Personen nach Pfizer/Biontech- oder Moderna-Anti-COVID-mRNA-Injektion (ijvtpr.com) von 1.006 Moderna- oder Pfizer-letzter mRNA. Insgesamt 58 Patienten (27 Männer und 31 Frauen) hatten völlig normale Werte Blut bei der mikroskopischen Analyse nach der Injektion, was 5,77 % der Gesamtzahl entspricht. Impfstoffe sollen mindestens das Spike-Protein von SARS-CoV-2 enthalten (Nance & Meier, 2021), aber auch Fremdstoffe, von denen die CDC und viele Befürworter experimenteller Injektionen behauptet haben, dass sie vollständig fehlen Unter diesen Fremdkörperkomponenten, die Lee et al (2022) zuvor in diesem Journal gezeigt haben, waren auch metallische Objekte , was auch durch unsere unten beschriebenen Ergebnisse bestätigt wird. Figur 4). Die hier zusammengefassten vier Fälle sind nach unserem Verständnis und der klinischen Expertenmeinung vollkommen repräsentativ für alle 948 Fälle, die periphere Blutveränderungen aufwiesen. Dieses 120-fache Bild (digital 3-fach vergrößert) hebt die typische selbstaggregierte Struktur des faserigen/röhrenförmigen Modus hervor. In diesem Fall nehmen die Teilchenaggregate kristalline Eigenschaften an. Darüber hinaus gibt es Bereiche mit engem Einfluss, wie Schmetterlingsflügel, im Zusammenhang mit der Entwicklung von kristallinem Gewebe. Ein 120-faches Bild zeigt zwei Fremdpartikel und Fibrin-Cluster 2 Monate nach der Impfung .
![Screenshot_(1311)[1]](https://livedoor.blogimg.jp/takahata521/imgs/a/1/a117fce9-s.png)


Der Patient ist ein 33-jähriger ehemaliger Athlet, der vor der mRNA-Injektion von Pfizer offenbar bei guter Gesundheit war. Einen Monat, nachdem er seine erste Dosis von Pfizers „Impfstoff“ erhalten hatte, hatte er deutliche Asthenie und Kopfschmerzen von konstanter Schwere (d. h. Kopf- und Körperposition und -bewegung, so dass das Auf- und Abbewegen des Kopfes den Schmerz verstärkte). empfindlicher Kopfschmerz). Kopfschmerzen sprechen nicht auf übliche Analgetika an. Diffuse rheumatoide Arthralgie mit Dyspnoe bei Anstrengung wurde festgestellt. Abbildung 5: Hochstrukturierte röhrenförmige Faserstrukturen. In (a) und (b) ist bei 40-facher Vergrößerung eine scheinbar geschichtete Konnektivität sichtbar. In (c) bei 120-facher Vergrößerung (3-fache digitale Verarbeitung) gibt es einen Komplex mit einer Länge von 166,54 μm (DeltaPix-Software). Es gibt viele weitere Fotos und Erläuterungen zu den Analyseergebnissen, aber der vollständige Text ist sehr lang, daher werde ich ihn weglassen. Um den vollständigen Artikel zu lesen: Ansicht der dunkelfeldmikroskopischen Analyse des Blutes von 1.006 symptomatischen Personen nach Anti-COVID-mRNA-Injektionen von Pfizer/BioNtech oder Moderna (ijvtpr.com)



![Screenshot_(1312)[1]](https://livedoor.blogimg.jp/takahata521/imgs/8/5/85326716-s.png)

0 Comments